대한민국 맘모톰 1세대
25년 경험과 노하우로
만족스러운 결과를 만듭니다
맘모톰, 꼭 해야 할까?
꼭 해야 한다면 어디서 해야 할까?
국내 맘모톰 시술 가이드라인 직접 주도 의료진
맘모톰은 한송이영상의학과!
영상 판독에 특화된 영상의학과 전문의 한송이 원장이 직접 맘모톰 필요성에 대해
객관적으로 판단한 뒤 만족스러운 시술은 물론 사후관리까지 책임집니다
왜 영상의학과 전문의가 하는 맘모톰은 다를까요?
객관적인 영상 판독으로
과잉진료 없이 꼭 필요한 진료만
영상 특화 전문의니까
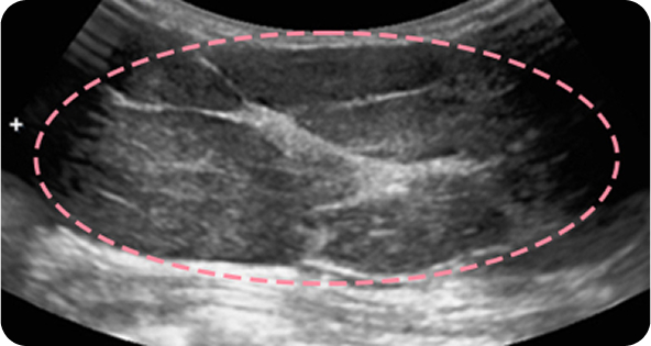
초음파 보면서
맘모톰도 안전하게
제거 후 재발 방지를 위한
정기적 영상 추적
관리도 확실하게
따라서 맘모톰 시술에서는
영상 판독 기술력과 시술 경험이 풍부한
영상의학과
전문의의 역할이 중요합니다.
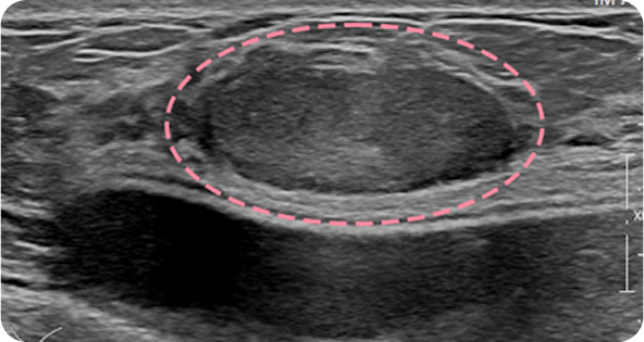
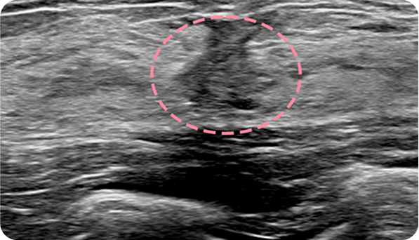
맘모톰시술 후 병리조직검사 결과 상피내암(조기 유방암)
초기로
진단되어 항암치료 없이 간단한 수술로 치료가
가능했습니다. 눈에
잘 띄지 않는 작은 병변까지 확인할 수 있었던 건,
맘모톰의 정밀한
조직검사 기능과 전문의의 정확한 판독이 있었기 때문입니다.
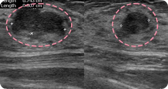
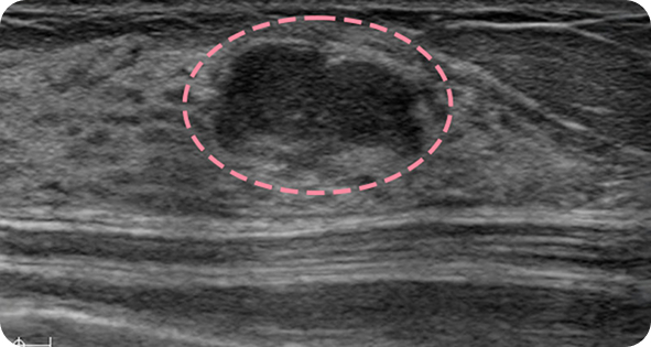
양성 종양은 여러 개가 동시에 생겨나기도 합니다. 정상적인 유방 조직 보전에 신경 쓰며 맘모톰 시술을 섬세히 진행했고, 6개월 뒤 추적 관찰을 위한 유방초음파에서 종양이 깨끗이 제거된 것을 확인 했습니다. 일부 반흔 조직은 자연스럽게 호전될 것으로 보여 좋은 예후가 기대되었습니다.
외국에서 내원한 17세 환자분은 빠르게 자라는 큰 유방 종양으로 대학병원 수술이 권고되었으나, 고난도 시술 경험을 바탕으로 3차례 맘모톰을 통해 성공적으로 제거했습니다. 흉터를 걱정했던 환자와 보호자 모두 결과에 만족하며, 현재까지 정기 추적검사에서 깨끗한 상태를 유지하고 있습니다.
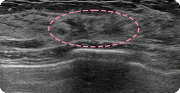
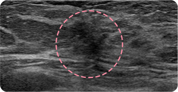
유방 섬유선종은 20~30대 젊은 여성에게 흔히 발생하는 양성 종양 으로, 대체로 위험성이 크지 않습니다. 하지만 드물게 악성으로 진행하는 경우가 있고 환자분께서 가족력으로 인한 불안을 느끼셔서 이번 사례에서는 예방적 차원에서 제거를 시행했습니다. 수술은 어렵지 않게 진행되었고, 1년 후 검사에서도 반흔 외에 재발 없이 깨끗한 결과를 확인할 수 있었습니다.
보형물 가슴성형 후 큰 유방 종양이 발견되었으나, 한송이 원장은 모든 시술 경력에서 단 한 번도 보형물을 건드리지 않은 고도의 숙련도로 맘모톰 시술을 안전하게 진행했습니다. 7개월 추적 검사에서도 내부 상태가 깨끗하게 유지되고 있습니다.
같은 유방 양성질환이라 하더라도 환자마다 병변의 상태와 신체 조건,
그리고 시술 목적은 모두 다릅니다.
한송이영상의학과는 이러한 차이에 세심하게 대응할 수 있도록,
대학병원급 최신 맘모톰 장비 3종을 갖추어 환자
개개인에게 맞춤형 시술을 제공합니다.
01
02
오직 한 분을 위한 개인별 감염관리 체계로
모든 과정은 멸균 소독과 개인별 1회 사용을 원칙으로 합니다
01
02
03
04
맘모톰 시술 후에는 재발 가능성까지
고려한 추적검사를 통해 세심한 관리를 이어갑니다..
수술 후 검진부터 다양한 유방질환까지
전반적인 유방 진료를 한 곳에서 제공합니다.
대기 시간을 최소화해
보다 편안한 진료 환경을 제공합니다.
대기부터 귀가까지 전 과정을
환자 중심의 동선으로 준비했습니다.
한송이영상의학과에서는 맘모톰조직검사 후
빠르면 다음날 결과 확인이 가능합니다.
대부분 1~2일 정도 소요되며, 오래 기다릴
필요 없이 설명을 들으실 수 있습니다.
이상 소견이 나왔을 때 누구라도 놀라고 걱정스럽기 마련입니다.
한송이영상의학과는 그 마음을 알기에 국내 유명 대학병원과의 협력을 통해
가장 빠르고 편안하게 원하시는 병원으로 연계해드립니다.
또한 환자분의 상황에 가장 적합한, 믿을 수 있는 전문의를 추천해드리고 있어
보다 심화적인 검사 및 조치가 필요한 상황에도 안심하실 수 있습니다.












이 네 가지 원칙을 지켜온 결과, 높은 재진율과 환자분들의 소개로 지금도 많은 분들이
한송이영상의학과를 믿고 찾아주고 계십니다
대학병원에서 유방 조직 검사 후 이곳을 추천해 줘서 맘모톰 수술을 받았습니다.조직 검사할 때보다 더 편안했던 것 같고 원장님 손길에서 전문성이 느껴졌습니다.
수술 대기 시간도 길지 않았고, 대기부터 회복까지 1인실이라 좋았어요.특히 영상의학과라서 그런지 초음파로 세밀하게 확인해 가며 진행해 주셔서 신뢰가 갔어요.
병실에 오래 머물게 되는데 침구가 깨끗하고 포근하며 충전기, 책 등 필요한 것들이 구비되어 있어 좋았어요. 원장님께서 실력이 훌륭하셔서 아무 후유증 없이 단시간에 깨끗이 제거술을 받을 수 있어 추천합니다.
꾸준히 추적 관찰 중인데 매번 이것저것 설명해 주시면서 저를 안심시켜 주셔서 좋습니다. 항상 느끼는 거지만 상담을 빨리 끝내려고 하지도 않으시고 꼼꼼하게 봐 주셔서 몇 년째 계속 다니고 있습니다.